Surgical safety update
Cases from the Confidential Reporting System for Surgery
In a joint safety initiative, Getting It Right First Time (GIRFT), NHS England and other key organisations have produced best practice guidance for documentation of the following procedures: inguinal hernia repair; laparoscopic appendicectomy; laparoscopic cholecystectomy; laparotomy and laparoscopic bowel resection; and thyroidectomy.
The first two cases are vignettes that underpin the need for comprehensive and thorough documentation for these procedures.
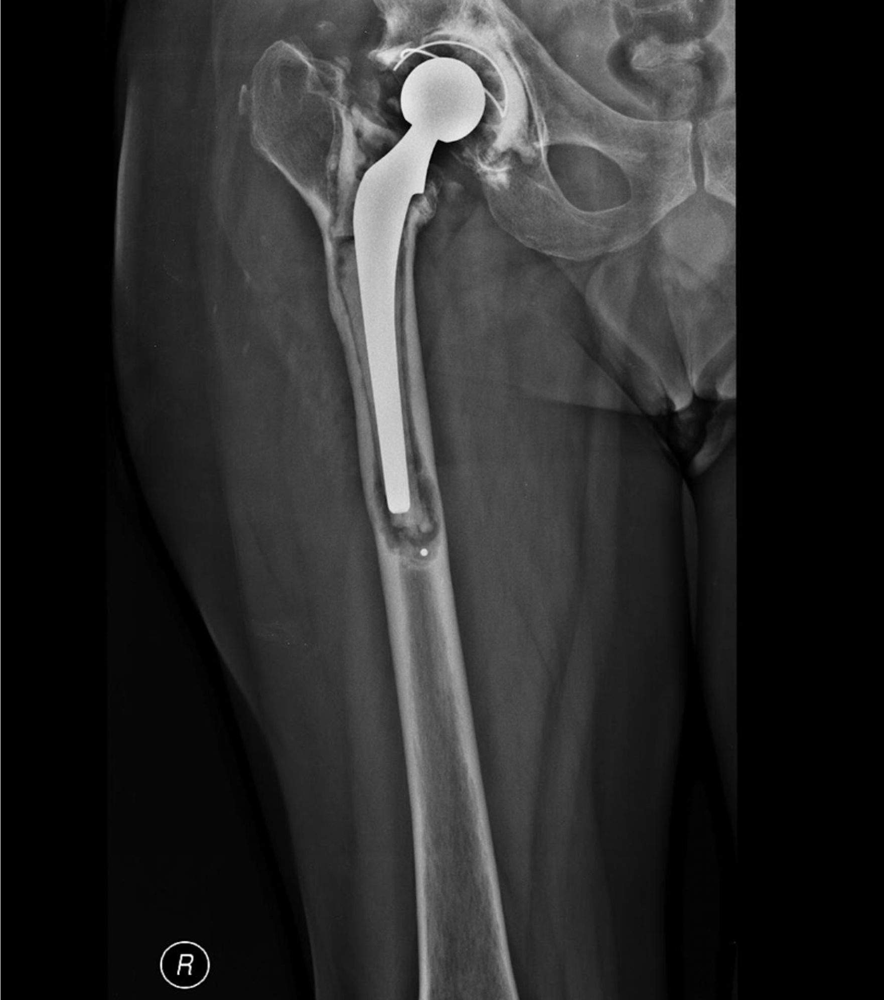
THR – failure to document anatomical variations
Having had a right uncemented total hip replacement using an 8mm femoral stem, a man in his sixties required revision surgery two years later, having experienced persistent pain due to the femoral stem having become loose and fractured.
The claimant alleged that the entry point for introduction of both the rasps and prosthesis had been excessively medial, resulting in an inappropriately small prosthesis being used and implanted in varus. There was subsequent migration and aseptic loosening of the component and failure of the prosthesis.
The allegation was not accepted by the operating surgeon, who claimed he had to use the small prosthesis because of the abnormally excessive curvature of the claimant’s femur.
The case could not be defended at trial, however, as there was found to be insufficient evidence in the operation note to support the surgeon’s account. Specifically, there was a lack of detail as to the surgical approach and a lack of explanation in the operative record regarding the rationale for the unusually small prosthesis.
Damages of £15,000 plus costs were paid to settle the claim.
GIRFT message
Any unusual anatomy and the steps taken to adapt to those anatomical variations should be documented.
Radiograph showing aseptic loosening of the femoral component of a total hip replacement
Radiograph showing aseptic loosening of the femoral component of a total hip replacement
CORESS comments
A comprehensive operation note forms a fundamental component of communication in the continuity of surgical care, and may also provide a means of defence in litigation cases. The Royal College of Surgeons of England has set out in detail the components of a good operation note in the document Good Surgical Practice1. Further relevant details are provided in Hoggett L, ‘How to write an operation note’2. The CORESS Advisory Board noted that it was particularly important to document untoward, unusual or adverse occurrences in the event that documentation is subsequently relied on for medicolegal purposes. Where feasible, a drawing or illustration may significantly enhance a reader’s understanding of the procedure undertaken.
Inadequate operative documentation and procedural description*
Following a week of being unwell, with eventual development of severe lower abdominal pain and rigors, a 32-year-old man underwent laparoscopic intervention. The procedure was listed as laparoscopic appendicectomy. At surgery, a large abscess in the right iliac fossa was drained and washed out. The appendix could not be seen due to the abscess and local inflammation. The operating surgeon failed to document in the operation note that the appendix had not been removed, although the operation was described as a laparoscopic appendicectomy.
Unfortunately, the patient continued to deteriorate as the rest of the clinical team were unaware that the source of the infection remained in situ and, when the patient did not improve, the appendix was not removed in the days immediately following the initial procedure. The patient subsequently required further operations, including laparotomy and formation of a temporary stoma.
After a prolonged hospital stay, the patient was left with a large abdominal scar and the need for stoma reversal. A medicolegal claim was successful. The washout and drainage of the abscess was advised as reasonable by the defence expert but failure to record that the appendix was left in situ was a breach of duty.
Reporter’s comments
Document if there are any intra-operative complications or unexpected findings and if part of the original planned procedure is not performed and the rationale for this. Ensure that any intra-operative decision-making is communicated to the patient and clinical team with an explanation behind the change in procedure performed and document that this was communicated to the patient and that any questions have been answered.
CORESS comments
Irrespective of the operation, continued deterioration of the patient should have been recognised and acted upon. This may have required updated imaging. The sign-out check would have provided an opportunity to confirm the correct nature of the procedure with the team and to ensure that this was correct in the operative record.
*From: Best practice for Laparoscopic Appendicectomy Documentation – guidance produced by GIRFT in partnership with the Royal College of Surgeons of England and the Association of Surgeons of Great Britain and Ireland.
Difficulty making a diagnosis in a non-verbal patient
A 21-year-old female with autistic spectrum disorder and significant learning disability was brought to ED by her mother, having been unsettled overnight. She was known to be epileptic and had had multiple focal seizures and one grand mal seizure. Her mother thought she was straining and uncomfortable in her abdomen. She tended to be constipated though had opened her bowels well the night before. Her mother felt the abdominal pain was out of character for her and she had a fever on arrival at ED. The ED doctor noted that the patient ‘pushes me away from her RIF and flinches++ when lightly palpating though allowed examination of the rest of the abdomen without a problem’. Appendicitis was suspected but they were unable to do bloods without sedation due to the patient’s day-to-day disabilities.
An ultrasound scan was requested and the ED doctor noted that there was a small haemorrhagic cyst on the left ovary, the appendix not visualised but no collection/mass seen. They did not read the report fully, however, and the 10cm pelvic collection mentioned in the middle of the report was not appreciated.
After the scan, the doctor re-examined the patient, noting that it was still difficult but the patient seemed to push away less and there was no guarding. The patient had just spiked a temperature of 39.5 but ‘as such a high temperature wouldn’t be typical for appendicitis’ it was felt it probably was not appendicitis. The mother was happy to take the young woman home with a prescription of movicol, though knew to return if the patient deteriorated.
Deteriorating as she did, she was brought back two days later, unusually quiet and with ongoing pain. There were several failed attempts to get blood and cannulate as, despite being quiet, the patient was ordinarily combative. In the end she needed a general anaesthetic to allow investigations, including bloods and a CT. She deteriorated quickly under GA, becoming hypotensive and tachycardic; the CRP was 390 and renal function deranged (urea 23 and creatinine 170). The CT revealed several large pelvic collections, thought likely to be due to tubal disease and a laparotomy was undertaken jointly with the gynaecologists. Huge bilateral tubo-ovarian abscesses were drained and a right salpingo-oophrectomy was required. E. coli was isolated from the pus, which was thought to have originated from the bowel.
Reporter’s comments
Assessing a non-verbal and combative patient is difficult and that was clearly in the mind of the ED doctor when they wrote their notes. The ultrasound scan was challenging, too, and the report was lengthy. There was no formal conclusion and, had there been, the most significant finding might have been easier to spot.
CORESS comments
Non-verbal patients, those with paralysis and those with other communication difficulties can be difficult to manage. The risk of poor outcome or death is increased and healthcare inequalities exist for such patients. The concerns of accompanying carers are extremely important and there should be a low threshold for admission for observation, especially when the usual diagnostic pathway cannot be followed. Senior review is advised. It is also critical to read radiology reports carefully, and in-person discussion with the radiologist can be invaluable.
- Published cases will be acknowledged by a Certificate of Contribution, which may be included in the contributor’s record of continuing professional development.
- CORESS is an independent charity, supported by AXA Health.
- We are grateful to those who have provided the material for these reports.
- The online reporting form is on our website, www.coress.org.uk, which also includes previous Feedback Reports.
References
1. Royal College of Surgeons of England. Good Surgical Practice 2014.
2. Hoggett L. How to write an operation note. BMJ 2017; 356: j355. https://doi.org/10.1136/bmj.j355
Read more

