Surgical safety update
Cases from the Confidential Reporting System for Surgery

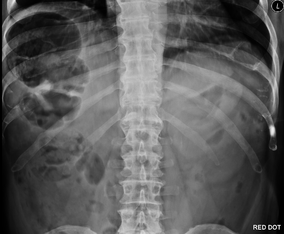
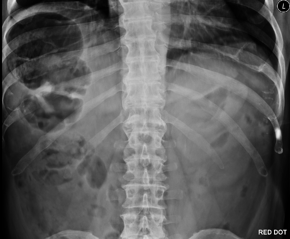
Missed diagnosis – caecal volvulus
A 66-year-old presented with acute onset abdominal pain, vomiting and diarrhoea. The case was referred from ED to rule out obstruction due to the plain abdominal X-ray (pictured). It showed a discrete distended loop of bowel in the right upper quadrant with a diameter of 11cm, the rest of the abdomen was relatively featureless. Blood tests were in the normal range other than a mildly raised white cell count. Clinical examination of the abdomen was unremarkable, it was described as soft, nontender and nondistended. The patient was settled and comfortable having received analgesia in ED. Safety-netting advice was given, and the patient was discharged with an assumptive diagnosis of gastroenteritis.
The patient returned hours later with worsening pain and the night on-call team reassessed them. A contrast-enhanced CT of the abdomen and pelvis was conducted in view of progressive symptoms. CT revealed a caecal volvulus. The patient underwent a laparotomy the following morning. A type 3 caecal volvulus (caecal bascule) was found intraoperatively, the caecum was excised and an ileocolic anastomosis carried out. The patient recovered uneventfully and was discharged on postoperative day seven.
Reporter’s comments
The medical records, including previous abdominal scans and endoscopies, were reviewed. On a historic CT abdomen, the patient was noted to have high riding caecum. There should be a high index of suspicion for caecal volvulus as the X-ray features revealed a featureless pattern except for the distended caecum in the right upper quadrant, in a patient known to have a high-riding caecum. Although abdominal examination was benign, and the patient reported a misleading symptom (diarrhoea), it is important to appreciate the value of a plain abdominal X-ray. An early CT scan should have been considered.
CORESS comments
Caecal volvulus is an uncommon diagnosis and the lack of symptoms and signs at the time of surgical review in the patient were reassuring. This case shows the value of good safety-netting, such that the patient presented promptly and there was no harm.
Implant misplacement
A 35-year-old woman sustained multiple femoral fractures in a road traffic accident, DVT prophylaxis was commenced on day two. On day three, just prior to planned orthopaedic surgery, she developed chest pain and dyspnoea. Angiography confirmed a pulmonary embolism. She was hemodynamically stable, and her respiratory symptoms stabilised once she was anticoagulated with enoxaparin. The patient was due to undergo placement of a distal femoral plate to stabilise the fractures. The surgery was postponed for five days and then it was decided to implant a temporary inferior vena cava filter (IVCF). IVCF implantation was performed and described as uneventful. The orthopaedic surgery was undertaken on the same day.
The following day, the patient complained of persistent pain in the lower back despite analgesia. Abdominal CT revealed the proximal portion of the IVCF was in an extravascular position. The patient required ongoing pain management. Minimally invasive removal of the device was not thought feasible.
Reporter’s comments
The hospital safety committee reviewed the images from the IVCF implantation procedure and identified an inadequate IVCF release manoeuvre. The product used was new and the doctor performing the procedure noted that the new device had a different release mechanism to the previous model, which was a significant factor in the inadequate positioning. Immediate training on the new device with periodic retraining was instigated.
CORESS comments
NICE guidance advises commencement of mechanical VTE (venous thromboembolism) prophylaxis on admission, and pharmacological VTE prophylaxis as soon as risk assessment is possible, in patients with major trauma (scan QR code A for guidance). Ideally VTE prophylaxis should have commenced sooner. There are few indications for placement of an IVCF filter, though patients with a recent proximal DVT or PE in whom anticoagulation must be interrupted to cover the operation may be considered for the procedure (scan code B for guidance).
Familiarity with equipment is key and training should precede use. For this procedure, it is critical for the operator to know the device and the anatomical position of the device before deployment to minimise the risk of this complication.
Plain abdominal X-ray showing discrete distended bowel in the upper right quadrant. Pattern recognition is key
Plain abdominal X-ray showing discrete distended bowel in the upper right quadrant. Pattern recognition is key
X-ray printed with permission
Implant displacement
A 34-year-old woman with cystic fibrosis was referred by the respiratory team for removal of a port-a-cath, which was blocked. The port had been in place for seven years. The port itself was on the right upper chest wall and the line entered the venous system via the internal jugular vein just above the clavicle. The patient was asymptomatic but keen for removal of the port.
During removal, the port itself was mobilised easily but the line was immovable. The surgeon opted to make an incision in the neck to try to extract the line, but the line remained fixed. A decision was made to transfer the patient to the interventional radiology suite for a joint procedure, with the aim of snaring the intravascular portion of the line while the surgeon divided the line at the neck. While the interventional radiologist was setting up, the surgeon applied traction to the line, which snapped, and the intravascular portion moved quickly into the right atrium where it could be seen moving back and forth with the contractions of the heart.
Although it took some time, the interventional radiologist did manage to snare the floating portion of the line and extract it without further complication but the whole procedure took many hours, which resulted in a prolonged recovery for the patient due to their underlying condition.
Reporter’s comments
This case highlights two issues: first, intravascular devices are known to become fixed after time and the problem might have been anticipated. A plan should be made prior to surgery regarding what would be done if the line is found to be immovable.
Second, during what was an unplanned joint procedure, communication between the radiologist and surgeon was poor and the complication of a ‘line-embolus’ could have been avoided.
CORESS comments
Intravascular access devices that have been in place for several years are at risk of retained fragments at the time of removal, so this scenario could have been predicted. Options for management should be discussed with the patient preoperatively, including the possibility of port removal only.
However, when faced with an unplanned procedure with a new team, an interim team brief is advised if the situation allows. Clear communication between surgeon and radiologist could have prevented the need for line capture, though it should be noted that such lines are brittle so dual snares are advised.
Pitfalls of automation
A 68-year-old man underwent a radical prostatectomy to treat prostate cancer. As part of his postoperative surveillance, his PSA was measured. The result was ‘within the normal range’ and the hospital’s automated results system acknowledged the result on behalf of the clinical team. The PSA reading was actually high for a patient who had undergone a prostatectomy and was a sign of residual disease. Thankfully, the abnormal result was picked up during and audit of the cancer care pathway, but the patient might have had a significant delay in further treatment had that not happened.
Reporter’s comments
The automatic result acknowledgement process did not have the right rules in place for this scenario. A manual check process has been introduced.
CORESS comments
It is established that if you order a test, you are responsible for checking the results. All test results must be reviewed in context and, even if this result had been checked in person, the context may have been missed. However, automated systems should be programmed to allow for scenarios such as this. Further consideration should be given to the term ‘normal range’, since test results are dependent on many factors, such as age, sex and current or past medical treatment. Use of a ‘reference range’ may be more appropriate and attention to the pathologist’s comments is essential.
- Published cases will be acknowledged by a Certificate of Contribution, which may be included in the contributor’s record of continuing professional development.
- CORESS is an independent charity, supported by AXA Health.
- We are grateful to those who have provided the material for these reports.
- The online reporting form is on our website, www.coress.org. uk, which also includes previous Feedback Reports.
Code A
Code B

Missed diagnosis – caecal volvulus
A 66-year-old presented with acute onset abdominal pain, vomiting and diarrhoea. The case was referred from ED to rule out obstruction due to the plain abdominal X-ray (pictured). It showed a discrete distended loop of bowel in the right upper quadrant with a diameter of 11cm, the rest of the abdomen was relatively featureless. Blood tests were in the normal range other than a mildly raised white cell count. Clinical examination of the abdomen was unremarkable, it was described as soft, nontender and nondistended. The patient was settled and comfortable having received analgesia in ED. Safety-netting advice was given, and the patient was discharged with an assumptive diagnosis of gastroenteritis.
The patient returned hours later with worsening pain and the night on-call team reassessed them. A contrast-enhanced CT of the abdomen and pelvis was conducted in view of progressive symptoms. CT revealed a caecal volvulus. The patient underwent a laparotomy the following morning. A type 3 caecal volvulus (caecal bascule) was found intraoperatively, the caecum was excised and an ileocolic anastomosis carried out. The patient recovered uneventfully and was discharged on postoperative day seven.
Reporter’s comments
The medical records, including previous abdominal scans and endoscopies, were reviewed. On a historic CT abdomen, the patient was noted to have high riding caecum. There should be a high index of suspicion for caecal volvulus as the X-ray features revealed a featureless pattern except for the distended caecum in the right upper quadrant, in a patient known to have a high-riding caecum. Although abdominal examination was benign, and the patient reported a misleading symptom (diarrhoea), it is important to appreciate the value of a plain abdominal X-ray. An early CT scan should have been considered.
CORESS comments
Caecal volvulus is an uncommon diagnosis and the lack of symptoms and signs at the time of surgical review in the patient were reassuring. This case shows the value of good safety-netting, such that the patient presented promptly and there was no harm.
Implant misplacement
A 35-year-old woman sustained multiple femoral fractures in a road traffic accident, DVT prophylaxis was commenced on day two. On day three, just prior to planned orthopaedic surgery, she developed chest pain and dyspnoea. Angiography confirmed a pulmonary embolism. She was hemodynamically stable, and her respiratory symptoms stabilised once she was anticoagulated with enoxaparin. The patient was due to undergo placement of a distal femoral plate to stabilise the fractures. The surgery was postponed for five days and then it was decided to implant a temporary inferior vena cava filter (IVCF). IVCF implantation was performed and described as uneventful. The orthopaedic surgery was undertaken on the same day.
The following day, the patient complained of persistent pain in the lower back despite analgesia. Abdominal CT revealed the proximal portion of the IVCF was in an extravascular position. The patient required ongoing pain management. Minimally invasive removal of the device was not thought feasible.
Reporter’s comments
The hospital safety committee reviewed the images from the IVCF implantation procedure and identified an inadequate IVCF release manoeuvre. The product used was new and the doctor performing the procedure noted that the new device had a different release mechanism to the previous model, which was a significant factor in the inadequate positioning. Immediate training on the new device with periodic retraining was instigated.
CORESS comments
NICE guidance advises commencement of mechanical VTE (venous thromboembolism) prophylaxis on admission, and pharmacological VTE prophylaxis as soon as risk assessment is possible, in patients with major trauma (scan QR code A for guidance). Ideally VTE prophylaxis should have commenced sooner. There are few indications for placement of an IVCF filter, though patients with a recent proximal DVT or PE in whom anticoagulation must be interrupted to cover the operation may be considered for the procedure (scan code B for guidance).
Familiarity with equipment is key and training should precede use. For this procedure, it is critical for the operator to know the device and the anatomical position of the device before deployment to minimise the risk of this complication.
Plain abdominal X-ray showing discrete distended bowel in the upper right quadrant. Pattern recognition is key
Plain abdominal X-ray showing discrete distended bowel in the upper right quadrant. Pattern recognition is key
X-ray printed with permission
Implant displacement
A 34-year-old woman with cystic fibrosis was referred by the respiratory team for removal of a port-a-cath, which was blocked. The port had been in place for seven years. The port itself was on the right upper chest wall and the line entered the venous system via the internal jugular vein just above the clavicle. The patient was asymptomatic but keen for removal of the port.
During removal, the port itself was mobilised easily but the line was immovable. The surgeon opted to make an incision in the neck to try to extract the line, but the line remained fixed. A decision was made to transfer the patient to the interventional radiology suite for a joint procedure, with the aim of snaring the intravascular portion of the line while the surgeon divided the line at the neck. While the interventional radiologist was setting up, the surgeon applied traction to the line, which snapped, and the intravascular portion moved quickly into the right atrium where it could be seen moving back and forth with the contractions of the heart.
Although it took some time, the interventional radiologist did manage to snare the floating portion of the line and extract it without further complication but the whole procedure took many hours, which resulted in a prolonged recovery for the patient due to their underlying condition.
Reporter’s comments
This case highlights two issues: first, intravascular devices are known to become fixed after time and the problem might have been anticipated. A plan should be made prior to surgery regarding what would be done if the line is found to be immovable.
Second, during what was an unplanned joint procedure, communication between the radiologist and surgeon was poor and the complication of a ‘line-embolus’ could have been avoided.
CORESS comments
Intravascular access devices that have been in place for several years are at risk of retained fragments at the time of removal, so this scenario could have been predicted. Options for management should be discussed with the patient preoperatively, including the possibility of port removal only.
However, when faced with an unplanned procedure with a new team, an interim team brief is advised if the situation allows. Clear communication between surgeon and radiologist could have prevented the need for line capture, though it should be noted that such lines are brittle so dual snares are advised.
Pitfalls of automation
A 68-year-old man underwent a radical prostatectomy to treat prostate cancer. As part of his postoperative surveillance, his PSA was measured. The result was ‘within the normal range’ and the hospital’s automated results system acknowledged the result on behalf of the clinical team. The PSA reading was actually high for a patient who had undergone a prostatectomy and was a sign of residual disease. Thankfully, the abnormal result was picked up during and audit of the cancer care pathway, but the patient might have had a significant delay in further treatment had that not happened.
Reporter’s comments
The automatic result acknowledgement process did not have the right rules in place for this scenario. A manual check process has been introduced.
CORESS comments
It is established that if you order a test, you are responsible for checking the results. All test results must be reviewed in context and, even if this result had been checked in person, the context may have been missed. However, automated systems should be programmed to allow for scenarios such as this. Further consideration should be given to the term ‘normal range’, since test results are dependent on many factors, such as age, sex and current or past medical treatment. Use of a ‘reference range’ may be more appropriate and attention to the pathologist’s comments is essential.
- Published cases will be acknowledged by a Certificate of Contribution, which may be included in the contributor’s record of continuing professional development.
- CORESS is an independent charity, supported by AXA Health.
- We are grateful to those who have provided the material for these reports.
- The online reporting form is on our website, www.coress.org. uk, which also includes previous Feedback Reports.
Code A
Code B

Read more
